副刊
口齒生香:定期洗牙清除牙齒黑斑
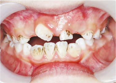
【明報專訊】家長經常因為擔心孩子牙齒上的黑斑而求醫,有些家長擔心這些污漬可能是蛀牙;有些則擔心會影響孩子外觀,尤其是在學校面試等重要活動之前出現斑點。
當不溶性鐵鹽沉積在牙齒上時,就會產生黑色牙漬。這是製造硫化氫的細菌與口水或牙肉中鐵質產生化學作用所導致。蛀牙通常會出現在咀嚼面、牙罅或難以觸及部位;而黑色牙漬則不同,它會沿着牙齒下半部形成黑色小點或線條。這種牙漬確切成因仍有爭議,有些人認為可能與細菌、飲食和牙齒護理等各種因素有關。
牙漬不會損害牙齒
如果孩子有黑色牙漬,家長先放心,研究顯示,有這種牙漬的兒童不太會有蛀牙的問題。因為這些細菌佔據在兒童的口腔微生物群內,令引致蛀牙的細菌較少。儘管牙漬看起來並不美觀,但它本身不會對牙齒造成損害。若家長不喜歡有牙漬外觀,只要找牙醫作簡單洗牙,就可以輕鬆解決問題。雖然黑色牙漬過了不久很大可能會在牙面重現,但定期帶小朋友去清除牙漬相較為小朋友補牙、杜牙根容易得多。
家長也可從幾個方向想想小朋友有黑色牙漬的原因:
1. 牙膏:天然牙膏可能缺乏有效去除牙漬所需的磨砂和清潔劑;可考慮改用常見含氟的牙膏,有助去除牙漬
2. 清潔:8歲以下兒童的手部靈巧度可能尚未完全發展,致難徹底清潔牙齒,家長必須監督及協助孩子刷牙,以防止牙菌斑(無論是否帶有致牙漬的細菌)長時間累積
3. 飲食:食用蘋果和梨等水果雖然有益健康,但也會令牙齒染色;針對這個問題,可以將這些水果納入正餐,減少當零食吃的次數,也可以鼓勵孩子在吃完水果後用水漱口,以減少對牙齒的影響
4. 家人:如果你或其他家人也有類似牙漬問題,可能會透過共用餐具或親嘴等日常習慣傳播口腔細菌;可以考慮是否能從這些習慣方面着手,防止或減少垂直傳播
文:林珮盈(香港大學牙醫學院兒童齒科臨牀助理教授)
